التشخيص المبكر طوق النجاة من انحراف العمود الفقري
(د ب أ) - يندرج انحراف العمود الفقري ضمن تشوهات العظام الخطيرة، التي تنشأ خلال مراحل النمو. ويعد التشخيص المبكر طوق النجاة من هذا المرض؛ حيث تتحسن فرص العلاج، كلما تم تشخيص التشوه مبكراً.
قال جراح العظام الألماني يوهانس فليشتنماخر إن مرض انحراف العمود الفقري يحدث غالباً في مرحلة المراهقة، وفي معظم الحالات تكون الأسباب غير معلومة.
حرف S
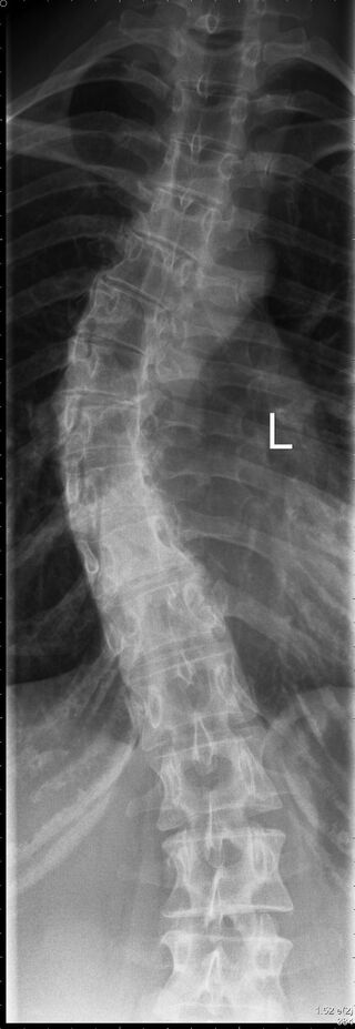
وتتمثل أعراض هذا التشوه العظمي في انحناء العمود الفقري واستدارة الفقرات، وفي بعض الأحيان يتخذ العمود الفقري شكل حرف S أو حرف C، بالإضافة إلى عدم استواء الكتفين وميل الحوض.
ومن جانبها، أكدت اختصاصي العلاج الطبيعي الألمانية فراوكه ميشر على أهمية التشخيص المبكر لانحراف العمود الفقري، موضحة أنه كلما تم اكتشاف التشوه مبكراً، أمكن علاجه بفعالية أكبر.
اختبار بسيط
وأضافت ميشر أنه يمكن للوالدين اكتشاف انحراف العمود الفقري لدى طفلهم من خلال اختبار بسيط؛ حيث ينبغي أن يطلبوا من الطفل تعرية الجزء العلوي من الجسم أثناء الوقوف، ثم الانحناء إلى الأمام، على أن يقوم الوالدان بفحص العمود الفقري من حيث التقوسات أحادية الجانب للضلوع وكذلك الانحرافات الجانبية للعمود الفقري.
وشدد فليشتنماخر على ضرورة عرض الطفل على طبيب عظام في أسرع وقت ممكن، مشيراً إلى أنه يمكن الاستدلال على انحراف العمود الفقري من خلال الأشعة السينية.
وأضاف جراح العظام الألماني أن العلاج يتوقف على موضع الانحراف وما إذا كان سيواصل التقدم، مشيراً إلى إمكانية اللجوء إلى الجراحة في حالات التشوه الشديدة.
وبشكل عام، أكد فليشتنماخر أن العلاج يهدف إلى إيقاف تقدم المرض ولا يَعد بالشفاء منه.
تقوية العضلات
وبدوره، قال هانز تيو موغ، مؤسس الشبكة الألمانية لمساعدة مرضى انحراف العمود الفقري، إنه يمكن إيقاف تدهور الحالة المرضية والتخلص من الآلام من خلال الجمع بين العلاج والرياضة؛ حيث يمكن خلال العلاج الطبيعي تدريب العضلات المحيطة بالجذع؛ إذ أن تقوية هذه العضلات تسهم في الحفاظ على انتصاب العمود الفقري على نحو أفضل.
وأكد موغ على أهمية اختيار نوع الرياضة المناسب لمرضى انحراف العمود الفقري، محذراً من خطورة الرياضات، التي تتطلب ممارستها الانحناء إلى الأمام كثيراً، مثل الهوكي.
وعلى النقيض، يندرج التسلق والتزلج بالعجلات ضمن الرياضات المناسبة لمرضى انحراف العمود الفقري.
ومن ناحية أخرى، أشارت اختصاصي العلاج الطبيعي ميشر إلى أنه في مرحلة عمرية متقدمة غالباً ما يعاني المرض من آلام والتهابات في عضلات ومفاصل العمود الفقري، لاسيما بسبب التحميل أحادي الجانب، الناجم مثلاً عن الجلوس طويلاً في العمل.
وبالإضافة إلى ذلك، يرتفع خطر تقلص حجم الرئة، ومن ثم المعاناة من صعوبات التنفس. ولتجنب هذه المخاطر، تنصح ميشر المرضى بممارسة إحدى رياضات قوة التحمل من أجل تدريب العضلات.
